
A study published in JAMA Internal Medicine, March 25, 2024, has uncovered some very disappointing stats. The researchers analyzed the medical records of 17,290 hospitalized older adults across 48 Michigan hospitals. They were double-checking on community-acquired pneumonia (CAP). In other words, these were people who caught a serious respiratory infection at home. It was bad enough to land them in the hospital. Here’s the kicker, though: “12.0% were inappropriately diagnosed.” Why did so many Michigan doctors diagnose pneumonia incorrectly? Does it matter?
It Is Important to Diagnose Pneumonia Correctly!
Pneumonia is a very big deal. Here is how the JAMA Internal Medicine authors introduce their research:
“Lower respiratory tract infection, including community-acquired pneumonia (CAP), is the fourth most common cause of medical hospitalization and most common infectious cause of hospitalization in the US. While many hospitalized patients treated for pneumonia have an infection, inaccurate or inappropriate diagnosis of pneumonia (ie, pneumonia diagnosis when pneumonia is not present) is common.”
When doctors fail to diagnose pneumonia correctly, bad things can happen.
- Patients often get an inappropriate prescription for antibiotics. The JAMA Internal Medicine research reveals that unnecessary antibiotic use can lead to adverse drug effects and antibiotic resistance.
- Doctors may miss the actual reason for breathing problems and coughing. If a patient has heart failure, it can manifest as shortness of breath or other breathing problems. Treating the symptoms as if they were brought on by pneumonia instead of congestive heart failure could be catastrophic.
- Some patients may actually have lung cancer. If doctors diagnose pneumonia instead of pulmonary cancer, it could delay appropriate treatment.
The Results of the Michigan Hospital Study:
The researchers reported that “approximately 1 in 8 patients were inappropriately diagnosed:
“Patients at highest risk of inappropriate diagnosis were older, had dementia, or presented with altered mental status. Overall, nearly 88% of patients inappropriately diagnosed with CAP received a full antibiotic course, which was associated with physician-documented antibiotic-associated adverse events.”
I don’t know about you, but I find such statistics shocking in 2024. A century ago, this might be understandable. The only diagnostic tools doctors had were crude stethoscopes to listen to lung function. Even 50 years ago, doctors did not have the kind of imaging scans that are currently available. Today, though, we have a number of sophisticated testing procedures.
Symptoms and Causes of Pneumonia:
Classic symptoms include:
- Coughing
- Breathing difficulties and/or shortness of breath; shallow breathing
- Elevation of temperature due to response to infection
- Sharp chest pain, especially when taking deep breaths
- Exhaustion, fatigue and/or no energy
- Reduced appetite; nausea
What is pneumonia, anyway? The word means inflammation of the lungs. It can be infectious in nature: bacterial, viral or fungal. It is important to determine the cause since antibiotics cannot cure a viral or fungal pneumonia. There is also chemical pneumonia brought on by exposure to toxins. Antibiotics are also useless against that cause.
Weight Loss Drugs?
Let’s not forget aspiration pneumonia. It can occur when people breathe in the contents of the stomach. With so many people now taking drugs like semaglutide (Ozempic, Wegovy) and tirzepatide (Mounjaro, Zepbound), there is growing concern that aspiration pneumonia could become a serious problem. That’s because food may be retained in the stomach for days. If emergency surgery becomes necessary, anesthesia can lead to aspiration pneumonia.
You can read more about this serious problem at this link:
If You Need Surgery While on Ozempic or Wegovy BE VERY CAREFUL!
It is Not Easy to Diagnose Pneumonia Correctly:
Based on the study in JAMA Internal Medicine, we conclude that diagnosing pneumonia correctly can be challenging. It is essential that physicians rule out things like congestive heart failure or cancer first. Then they need to determine if the symptoms are caused by bacteria, viruses or fungi. Treating viral pneumonia with antibiotics is counterproductive.
In other words, if the infection is caused by Streptococcus pneumoniae bacteria, antibiotics would be essential. But if the lung symptoms are due to influenza, antiviral medications would be most appropriate. If the pneumonia is fungal in origin, then antifungal drugs would be essential.
By the way, many people are now taking immune-suppressing drugs (think TV commercials for psoriasis, rheumatoid arthritis, colitis or eczema). Such medications compromise the immune system and make the body more vulnerable to fungal infections. Antibiotics would not be helpful for such infections.
What Tests Are Appropriate to Diagnose Pneumonia?
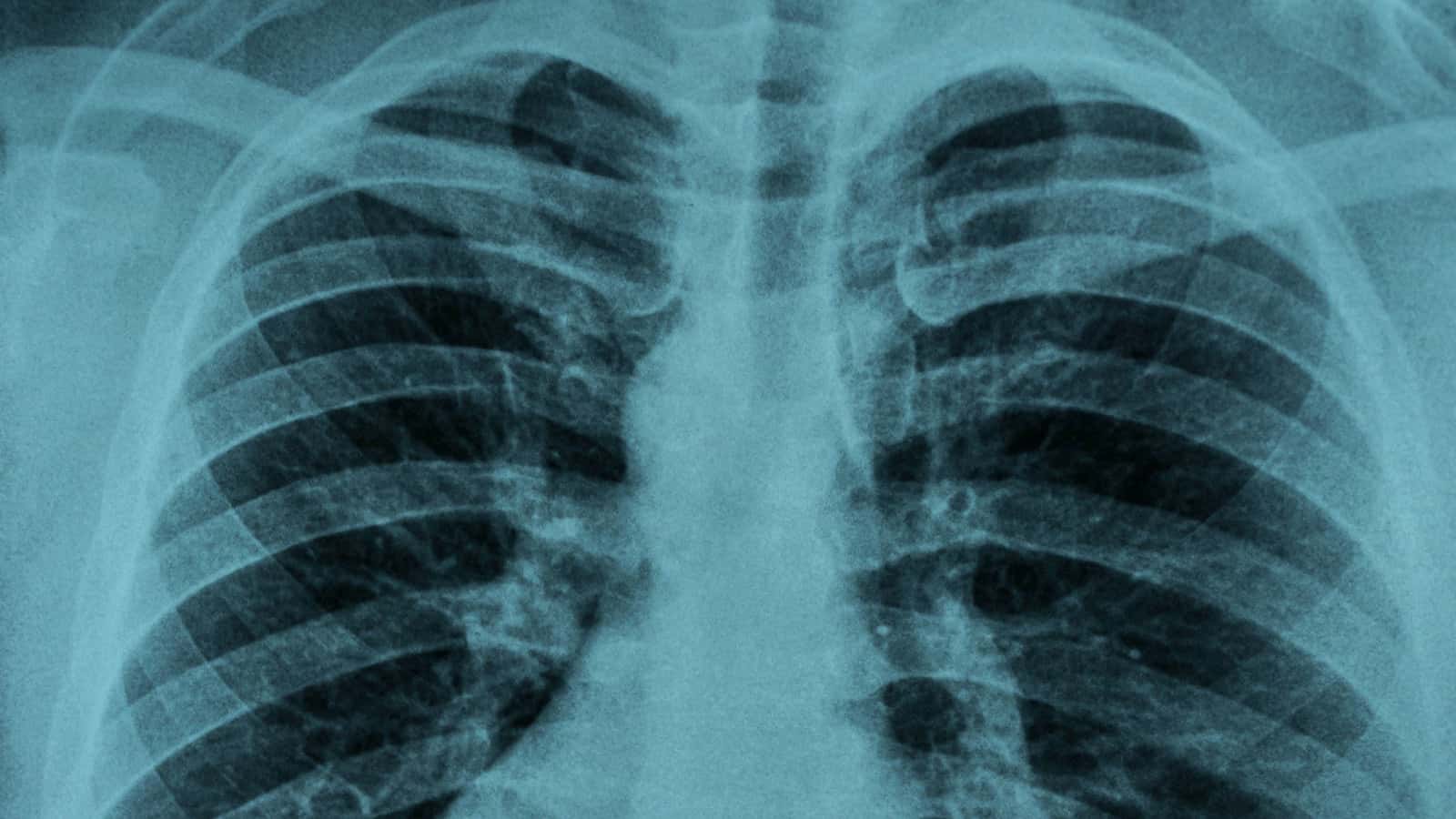
• Imaging can be helpful. A chest X-ray or CT scan can reveal how much inflammation exists inside the lungs.
• Doctors should also perform blood tests to get some sense of how the immune system is responding to a possible infection. Blood tests may also be able to determine what pathogen is involved.
• Measurements of oxygen levels through pulse oximetry or even arterial blood gas analysis can be extremely valuable to determine the degree of lung involvement.
• If a patient can cough up phlegm, a sputum test can also be important. It may reveal the cause of the infection. If that is not possible, a physician may insert a needle between the ribs to extract fluid from round the lungs. It can then be cultured to determine what germ may be the culprit.
• If doctors are still puzzled about the cause of the pneumonia, they may perform bronchoscopy to determine what is actually going on inside the lungs.
Why Do Doctors Have Trouble with the Diagnosis of Pneumonia?
The authors of the JAMA Internal Medicine research state that:
“First, because CAP [community acquired pneumonia] is common, physicians are at high risk for cognitive biases such as availability bias (ie, the tendency to make decisions based on information that comes most readily to mind).”
This is often referred to as the medical admonition:
“When you hear hoofbeats, think horses, not zebras.”
Sadly, this approach often leads to misdiagnosis!
The study of Michigan hospitals goes on to note:
“Second, CAP symptoms are nonspecific and may overlap with other cardiopulmonary diseases (eg, congestive heart failure exacerbation), making diagnosis difficult. Given poor outcomes associated with CAP, in the setting of uncertainty, health care professionals may favor overtreatment rather than potentially missing a CAP diagnosis.”
The authors also mention speed as a potential problem. The Joint Commission accredits and certifies over 20,000 hospitals and health care programs in the US. It requires the administration of antibiotics within 6 hours of a patient showing up with symptoms of pneumonia. The authors of the study state that this recommendation may have led to unintended consequences: inappropriate diagnoses of pneumonia and overtreatment with antibiotics.
The final reason for screwup is described as:
“…local policies, procedures, or culture may affect accurate diagnosis.”
In other words, the hospital itself may create conditions that make it hard to diagnose pneumonia correctly.
Final Words:
You now know that something as seemingly “simple” as an effort to diagnose pneumonia correctly is not as easy as many people may think. It requires close collaboration between the family and the hospital staff. Make sure the correct tests are conducted and the results reported promptly to patients and their loved ones. Since the people most at risk for a misdiagnosis may be older or cognitively impaired, family members may need to accompany them to make sure that they get the appropriate attention, right diagnosis and correct treatment(s).
Please share your own experience with pneumonia in the comment section below.
Citations
- Gupta, A.G., et al, "Inappropriate Diagnosis of Pneumonia Among Hospitalized Adults," JAMA Internal Medicine, March 25, 2024, doi: 10.1001/jamainternmed.2024.0077